جراحی تومور مغزی در شیراز: روشها، مراحل و مراقبتها
جراحی تومور مغزی در شیراز
تومور مغزی یکی از چالشهای جدی سلامت است که میتواند زندگی افراد را تحت تأثیر قرار دهد. این رشد غیرطبیعی سلولها در مغز یا اطراف آن، ممکن است خوشخیم یا بدخیم باشد و علائم مختلفی مانند سردرد یا تشنج ایجاد کند. در شیراز، با دسترسی به جراحان متخصص مانند دکتر نوید فرزین و مراکز پیشرفته، درمان مؤثر امکانپذیر است. انتخاب جراح و بیمارستان مناسب، کلید موفقیت است زیرا ریسکها را کاهش میدهد و بهبودی را تسریع میکند. این مقاله برای بیماران مبتلا به تومور مغزی و خانوادههایشان در شیراز و سراسر ایران نوشته شده تا با زبان ساده، اطلاعات کاربردی ارائه دهد. هر بیمار شرایط منحصربهفردی دارد، پس همیشه با متخصص مشورت کنید.

جراحی تومور مغزی در شیراز
تومور مغزی چیست و چه انواعی دارد؟
تومور مغزی رشد غیرطبیعی سلولها در مغز یا بافتهای اطراف آن است که میتواند از خود مغز شروع شود یا از جای دیگری به مغز برسد. طبق منابع معتبر، بیش از ۱۵۰ نوع تومور مغزی وجود دارد که برخی خوشخیم و برخی بدخیم هستند. این تومورها میتوانند بر عملکرد مغز تأثیر بگذارند و نیاز به جراحی تومور مغزی در شیراز یا مراکز دیگر دارند.
تومور خوشخیم (Benign)
تومورهای خوشخیم معمولاً کندرشد هستند و به بافتهای اطراف نفوذ نمیکنند. آنها اغلب با جراحی قابل برداشت هستند و احتمال بازگشت کمتری دارند، اما اگر در مکان حساس باشند، میتوانند مشکلساز شوند. مثال: مننژیوما که از غشاهای اطراف مغز تشکیل میشود.
تومور بدخیم (Malignant/سرطانی)
تومورهای بدخیم سریعتر رشد میکنند و به بافتهای سالم حمله میکنند. آنها اغلب نیاز به ترکیبی از جراحی، شیمیدرمانی و پرتودرمانی دارند. مثال: گلیوبلاستوما که شایعترین نوع بدخیم است.
علائم شایع (سردرد، تشنج، مشکلات بینایی، اختلال گفتار)
علائم تومور مغزی بسته به مکان و اندازه متفاوت است. علائم رایج شامل سردردهای شدید صبحگاهی، حالت تهوع، تشنج بدون سابقه، مشکلات بینایی مانند تاری دید، اختلال در گفتار یا حافظه، و تغییرات شخصیتی هستند. اگر این علائم را تجربه میکنید، فوراً به پزشک مراجعه کنید.
جدول: نوع تومور | سرعت رشد | درمان پیشنهادی
| نوع تومور | سرعت رشد | درمان پیشنهادی |
| خوشخیم | کند | جراحی برای برداشت کامل |
| بدخیم | سریع | جراحی + شیمیدرمانی + پرتودرمانی |
روشهای تشخیص تومور مغزی
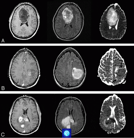
تشخیص دقیق تومور مغزی گام اول درمان است. ابتدا معاینه بالینی و نورولوژیک انجام میشود تا علائم ارزیابی شود. سپس، تصویربرداری مانند MRI (تصویربرداری رزونانس مغناطیسی) که بهترین روش برای شناسایی اندازه و مکان تومور است، یا CT اسکن برای موارد اورژانسی استفاده میشود. در نهایت، بیوپسی (نمونهبرداری از بافت تومور) برای تعیین نوع دقیق تومور ضروری است. این روشها در مراکز شیراز مانند بیمارستانهای دانشگاهی موجود هستند و به بهترین جراح تومور مغزی کمک میکنند برنامه درمانی بچیند.

روشهای جراحی تومور مغزی – MRI تومور مغزی
چه زمانی جراحی تومور مغزی لازم است؟
جراحی تومور مغزی زمانی ضروری است که تومور فشار زیادی بر مغز وارد کند، علائم شدید مانند تشنج یا اختلال حرکتی ایجاد کند، یا تهدیدکننده حیات باشد. همچنین، برای تومورهای قابل برداشت که در مکانهای قابل دسترسی هستند، جراحی اولین گزینه است. طبق تحقیقات، اگر تومور خوشخیم باشد یا در مراحل اولیه، جراحی میتواند کاملاً مؤثر باشد. در شیراز، ارزیابی دقیق توسط متخصصان تعیین میکند آیا جراحی لازم است یا گزینههای دیگری مانند پرتودرمانی کافی است.
روشهای جراحی تومور مغزی
روشهای جراحی تومور مغزی بسته به نوع، اندازه و مکان تومور انتخاب میشوند. هدف، برداشت حداکثری تومور بدون آسیب به بافت سالم است.
کرانیوتومی (باز کردن جمجمه) → رایجترین روش
در این روش، بخشی از جمجمه برداشته میشود تا به تومور دسترسی پیدا شود. سپس تومور برداشته و جمجمه جایگزین میشود. مناسب برای تومورهای بزرگ.
جراحی کمتهاجمی (اندوسکوپیک) → برای تومورهای عمقی یا هیپوفیز
با استفاده از ابزارهای کوچک و دوربین، از طریق بینی یا سوراخ کوچک، تومور برداشته میشود. ریکاوری سریعتری دارد.
رادیوسرجری (مانند گاما نایف) → در تومورهای کوچک و منتخب
این روش بدون برش است و با پرتوهای دقیق، تومور را هدف قرار میدهد. ایدهآل برای تومورهای کوچک یا کسانی که جراحی باز برایشان ریسکی است.
جدول: روش | کاربرد | مدت بستری | ریسکها
| روش | کاربرد | مدت بستری | ریسکها |
| کرانیوتومی | تومورهای بزرگ | ۳-۷ روز | عفونت، خونریزی |
| اندوسکوپیک | تومورهای عمقی | ۱-۳ روز | آسیب به اعصاب |
| رادیوسرجری | تومورهای کوچک | سرپایی | خستگی، تورم موقت |

جراحی تومور مغزی شیراز – کرانیوتومی – دکتر فرزین شیراز
ریسکها و عوارض احتمالی جراحی تومور مغزی
هر جراحی ریسکهایی دارد، از جمله عفونت، خونریزی، تشنج، یا مشکلات گفتاری و حرکتی موقت. در موارد نادر، سکته یا کما ممکن است رخ دهد. انتخاب بهترین جراح تومور مغزی در شیراز، مانند کسانی با تجربه بالا، این ریسکها را به حداقل میرساند. مطالعات نشان میدهد که مراکز پیشرفته ریسک را کاهش میدهند، اما هیچ جراحی بدون ریسک نیست.
مراقبتهای بعد از جراحی تومور مغزی
مراقبت بعد از جراحی تومور مغزی حیاتی است. معمولاً بیمار ۲۴-۴۸ ساعت در ICU بستری میشود تا علائم حیاتی نظارت شود. داروهای ضدتشنج و ضدالتهاب تجویز میشود. فیزیوتراپی برای بهبود حرکت و گفتاردرمانی در صورت نیاز کمک میکند. تغذیه مناسب با پروتئین بالا و آب کافی برای بهبودی سریعتر ضروری است. در خانه، استراحت، اجتناب از فعالیت سنگین و پیگیری منظم با پزشک توصیه میشود. دوره نقاهت ممکن است ۶-۱۲هفته طول بکشد.
اینفوگرافیک: چکلیست مراقبت بعد از جراحی تومور مغزی
- داروها را منظم مصرف کنید.
- روزانه راه بروید اما سنگین بلند نکنید.
- علائم عفونت مانند تب را چک کنید.
- تغذیه سالم داشته باشید.
- جلسات توانبخشی را از دست ندهید.

مراقبت بعد از جراحی تومور مغزی – مراحل مراقبت
هزینه جراحی تومور مغزی در شیراز
هزینه جراحی تومور مغزی در شیراز بستگی به عوامل مختلفی مانند نوع جراحی (کرانیوتومی یا رادیوسرجری)، بیمارستان (دولتی یا خصوصی)، تجهیزات پیشرفته و پوشش بیمه دارد. در بیمارستانهای دولتی، هزینه پایینتر است اما ممکن است زمان انتظار بیشتر باشد. در مراکز خصوصی، با امکانات بهتر، هزینه بالاتر میرود. بدون دادههای دقیق ۲۰۲۵، بازه تقریبی از چند ده میلیون تا چند صد میلیون تومان است، اما برای برآورد دقیق، با بیمارستان مشورت کنید. بیمههای تکمیلی بخشی را پوشش میدهند.
چرا جراحی در شیراز با دکتر نوید فرزین؟
شیراز با بیمارستانهای پیشرفته مانند نمازی و شهید فقیهی، گزینه عالی برای جراحی تومور مغزی است. دکتر نوید فرزین با تجربه در جراحیهای پیچیده مغز و تیم چندتخصصی (نورولوژیست، رادیولوژیست، توانبخشی)، درمان شخصیسازیشده ارائه میدهد. امکانات مانند MRI پیشرفته و رادیوسرجری، کیفیت را افزایش میدهد. برای بیماران محلی، دسترسی آسانتر است و برای دیگران از سراسر ایران، ارزش سفر دارد. برای اطلاعات بیشتر، مقاله «بهترین کلینیک مغز و اعصاب شیراز» را بخوانید
برای جزئیات علمی، به منبع معتبر Mayo Clinic مراجعه کنید!
نکات مراقبت و بهبودی پس از جراحی تومور مغزی
طبق پژوهشهای اخیر در مراکز معتبر مانند Mayo Clinic، Duke University Brain Tumor Center و NIH، دوران بهبودی پس از جراحی تومور مغزی شامل چند مرحله حیاتی است که رعایت آنها احتمال بازگشت بیماری را کاهش میدهد و عملکرد شناختی بیمار را بهبود میبخشد.
🔹 مراحل بهبودی
-
هفته ۰–۲: استراحت مطلق نسبی، مراقبت از زخم و کنترل درد. از خم شدن یا بلند کردن اجسام سنگین خودداری شود.
-
هفته ۲–۶: شروع فیزیوتراپی و گفتاردرمانی برای بازیابی تعادل، گفتار و حافظه.
-
بعد از هفته ۶: بازگشت تدریجی به کار و فعالیتهای سبک با نظر جراح. بهبود کامل ممکن است تا ۶–۱۲ ماه طول بکشد.
🔹 نکات مهم مراقبتی
-
اجتناب از فعالیتهای شدید و مکانهای شلوغ تا کاهش خطر افزایش فشار داخل جمجمه .
-
رعایت بهداشت زخم و توجه به علائم هشدار مانند تب، ترشح، ضعف جدید یا تشنج .
-
رژیم غذایی سرشار از پروتئین و مایعات کافی برای ترمیم بافتها مفید است .
سوالات متداول (FAQ)
آیا همه تومورهای مغزی نیاز به جراحی دارند؟
خیر، برخی تومورها با پرتودرمانی یا دارو کنترل میشوند، بسته به نوع و مکان.
دوره نقاهت بعد از جراحی چقدر است؟
معمولاً ۶-۱۲ هفته، اما بسته به بیمار متفاوت است.
آیا احتمال بازگشت تومور وجود دارد؟
بله، بهویژه در تومورهای بدخیم، اما پیگیری منظم کمک میکند.
آیا جراحی باعث اختلال حافظه یا گفتار میشود؟
ممکن است موقت باشد، اما با توانبخشی بهبود مییابد.
چه مدت بعد از عمل میتوان به زندگی عادی برگشت؟
برای کارهای سبک، ۴-۶ هفته؛ برای فعالیت سنگین، ۳ ماه یا بیشتر.
در جمعبندی، جراحی تومور مغزی در شیراز با روشهای پیشرفته و مراقبتهای مناسب، شانس بهبودی بالایی میدهد. اهمیت درمان سریع و انتخاب متخصص را فراموش نکنید، زیرا هر بیمار منحصربهفرد است.
برای مشاوره تخصصی و جراحی تومور مغزی در شیراز، همین امروز نوبت خود را از «این لینک» رزرو کنید و یا با مطب دکتر نوید فرزین تماس بگیرید. «صفحه تماس»
دکتر نوید فرزین – متخصص جراحی مغز و ستون فقرات در شیراز
دکتر نوید فرزین یکی از پزشکان برجسته و باتجربه در زمینهی جراحی مغز، اعصاب و ستون فقرات در شیراز است.
ایشان با بهرهگیری از جدیدترین روشهای درمانی غیرجراحی و جراحی مدرن ستون فقرات، به بیماران کمک میکنند تا از دردهای مزمن کمر و گردن رهایی یابند و به زندگی روزمرهی بدون درد بازگردند.
خدمات دکتر فرزین شامل:
-
درمان و جراحی دیسک کمر و گردن با حداقل تهاجم
-
توانبخشی تخصصی و برنامههای ورزشی شخصیسازیشده برای پیشگیری از بازگشت درد
-
مشاوره تخصصی برای بیماران مبتلا به دردهای عصبی، سیاتیک و آرتروز ستون فقرات
🎯 هدف دکتر فرزین، بازگرداندن عملکرد طبیعی بدن و بهبود کیفیت زندگی بیماران است — بدون نیاز به جراحیهای غیرضروری.
📍 آدرس مطب: شیراز، بلوار زند، نبش خیابان بیست متری (هفت تیر)، مجتمع پزشکی شیراز، طبقه3، واحد 303
📞 برای رزرو نوبت: رزرو نوبت آنلاین در مطب دکتر نوید فرزین